Teeth Whitening

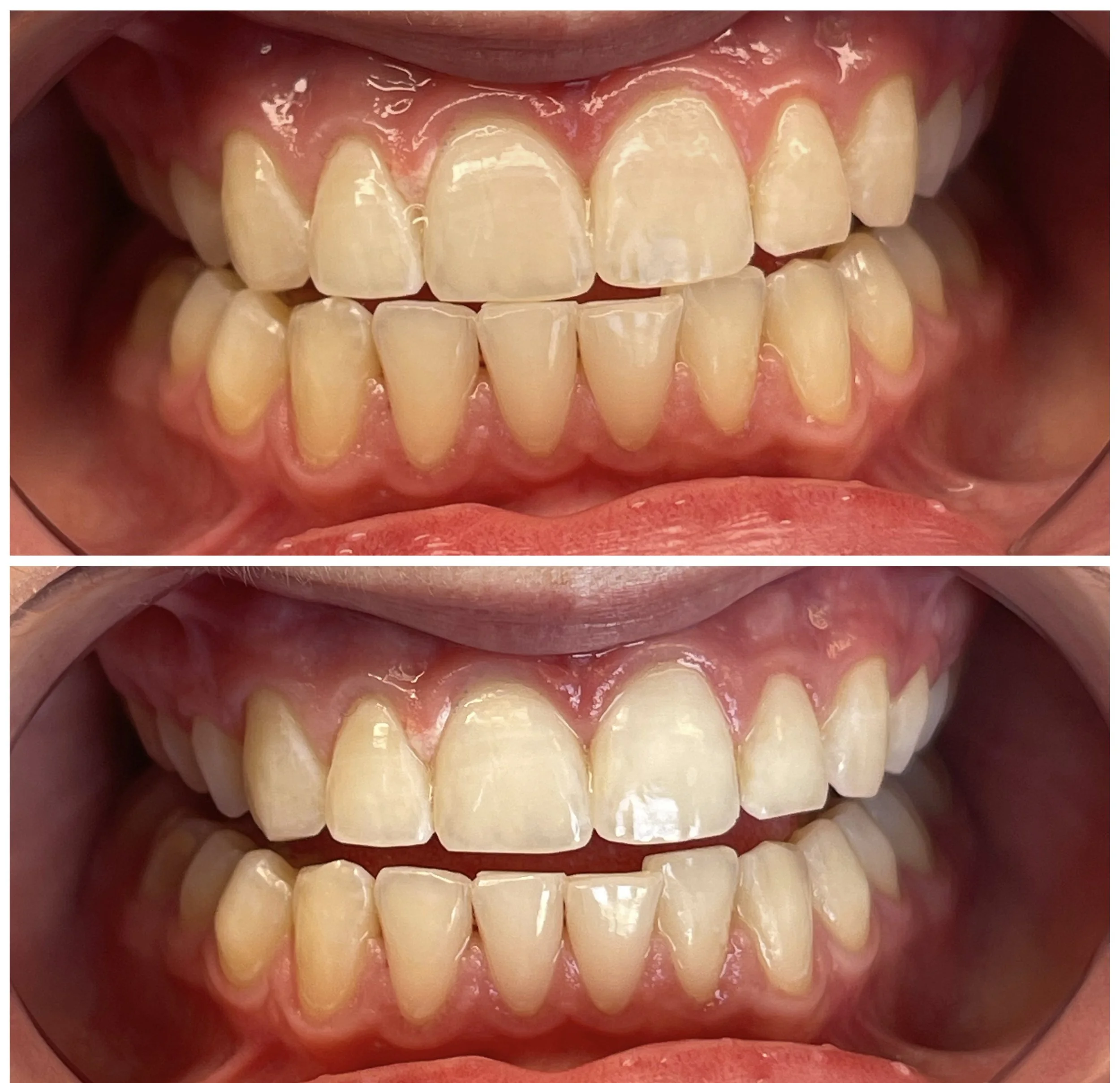
Teeth whitening is the process that uses peroxide gel and an LED light to help lighten, remove stain and discoloration from teeth.

Treatment can lighten teeth up to 3 shades in 1st Session.

1 teeth whitening session, 50 minutes for $120.00

1st Session, 40 minutes

1st Session, 40 minutes

1st Session, 40 minutes

1st Session, 40 minutes

2nd Session, 60 minutes

1st Session, 60 minutes

1st Session, 60 minutes

2nd Session, 60 minutes

FAQS:

How long do the results last?

Your teeth are constantly under attack by stains in foods and drinks. The more colored food or drinks you consume, the faster they will build up stains. Each time you whiten, you are removing months to years of staining. Although results are not permanent, its very easy to maintain a white smile. A whitening session is recommended every 2-3 weeks until desired whiteness is achieved. Once desired whiteness is achieved then a session every 6 months to maintain the desired whiteness is recommended.

What should I do before treatment?

Client may need to plan on eating before the appointment, since they will not be able to eat for the next 2 hrs,. Client should BRUSH & FLOSS teeth thoroughly before for best results.

If a tooth brush and floss are not available, client can purchase a toothbrush from North Esthetics Skin and Brows for $2.00. Brushing & Flossing provides optimal results!

What should I do after treatment or expect?

After treatment, the color of your teeth will regress somewhat over time, this is natural and should be very gradual, but it can be accelerated by exposing the teeth to various stains agents, such as coffee, tea, tobacco,, red wine, dark soda, ect. (use a straw to lower chances of stains or after dark color foods or drinks brush your teeth) No food, drink (including water) or tobacco for 2 hours, remaining peroxide on your teeth will continue to work and lighten over the next 2 hours. Peroxides oxidizing power releases in the first 2 hours, then it continues to work even up to 6 hours.

Is it safe to teeth whiten when pregnant?

In general, it is best to seek your physician advice before proceeding with the teeth whitening process while pregnant. However there is no significant health risk form the peroxide gel.

However, If a client is pregnant, North Esthetics Skin & brows requires a whitening approval content form from your physician stating teeth whitening is at no risk and approved by your physician. You can bring the consent at your appoitment or your physician office can email it to north esthetics.boise@gmail.com and will get attach to your profile.

What causes tooth sensitivity?

Tooth sensitivity is caused when the inner nerves of ta tooth are exposed to changes in temperature. Sensitivity is temporary, A remineralization gel is also a product that can be purchased and applied right after whitening to instantly re-mineralize and help reduce sensitivity if any. Remineralization Gel add-on $5.00